Healthcare professional in blue scrubs smiling beside an MRI machine in a modern medical facility.

MRI Technology

Advanced MRI for Comfort & Clarity

At Shields, every investment in technology starts with you. From wide-bore scanners that ease anxiety to AI-powered imaging that delivers sharper results faster, our goal is simple: the most comfortable MRI experience and the clearest answers for your care.

Medical staff assisting a patient on an MRI machine in a hospital room with a decorative ceiling panel.

Overview

Where Comfort Meets the Highest Quality Imaging

With the strongest MRI machines, continuous investment in new systems, and AI technology, our imaging is designed to keep patients comfortable and confident.

  • Wide openings help patients feel more comfortable during their scan.
  • Faster scans mean less time in the machine and more comfort for patients.
  • Crisp, high-quality images give physicians the clarity they need for confident diagnoses.

MRI Size

Shields offers the largest network of open-bore MRI machines available across New England, with a few additional options when needed for specific patients or locations.

MRI machine in a medical facility with a scenic ceiling panel design to provide a calming atmosphere for patients.
Medical imaging machine, MRI scanner with illuminated control panel and sliding patient table in a clinical setting
Medical MRI machine in a hospital setting ready for patient imaging.
MRI machine in a clinical setting with a patient table and control panels, designed for medical imaging purposes.
Wide, Open-bore Traditional bore Open-sided

Open-Bore MRI

Space to breathe easy.

When we say “open-bore,” we mean the widest available openings — it’s a tube, but a very roomy one that helps patients feel less confined and more comfortable.

MRI machine in a medical facility with a scenic ceiling panel design to provide a calming atmosphere for patients.

MRI Type

MRI Size Options: Open-Bore vs. Traditional-Bore vs. Open-Sided

  • Open-Bore (70 cm): These scanners offer the widest openings available, easing anxiety and keeping patients more comfortable. These machines are designed to help patients feel more comfortable, but they are not fully open-sided scanners.
  • Traditional (60 cm): Available at a small number of locations. While less spacious, these scanners still deliver the same high-quality imaging.
  • Open-Sided: A specialty design that offers the most open experience, this open-sided scanner is available only at our Brighton location.
Medical imaging machine, MRI scanner with illuminated control panel and sliding patient table in a clinical setting
Medical MRI machine in a hospital setting ready for patient imaging.
MRI machine in a clinical setting with a patient table and control panels, designed for medical imaging purposes.
Wide, Open-bore Traditional bore Open-sided

MRI Strength

Understanding MRI Strength: 1.2T, 1.5T, and 3T.

MRI strength, measured in ‘tesla’ (T), refers to the power of the magnet. Different strengths can affect image detail and scan time. Shields uses 1.2T, 1.5T, and 3T machines to meet different clinical needs.

Icon depicting 1.2T MRI technology

1.2T MRI

Lower strength scanner, available at one Shields location. Typically used for routine imaging and only offered as an open-sided machine.

Icon depicting 1.5 and 3T MRI technology

1.5T MRI

The gold standard in MRI. The most common strength, providing excellent image quality and efficient scan times for most exams.

Icon depicting 1.5 and 3T MRI technology

3T MRI

The strongest MRI strength. Produces the clearest, most detailed images, especially valuable for complex brain, some orthopedics, and prostate scans.

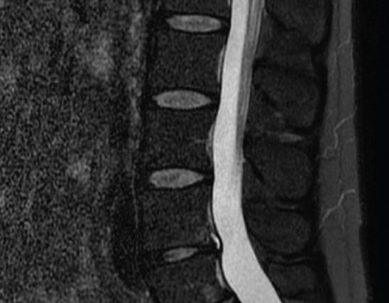
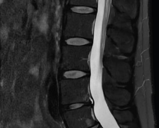
A.I. for MRI

Shields was the first in the world to bring AI-enabled MRI to patient care, shortening scan times, enhancing image quality, and giving physicians greater clarity.

Computer screens displaying 3D brain scans with data charts in a modern medical research facility.

The A.I. Difference

  • AI reduces noise and artifacts for sharper, clearer images.
  • Faster scans mean more comfort and less time in the machine.
  • Improves confidence in diagnosing orthopedic, neurologic, and prostate conditions.
MRI scan of the lumbar spine showing vertebrae and spinal cord in a sagittal view.

Without A.I.

MRI scan of human lumbar spine showing vertebral discs and spinal cord in black and white.

With A.I.

The difference is clear.

Office building with large windows surrounded by greenery and a blue sign with text reading "Shields" in the foreground.

Locations

With the largest network of MRI centers in New England, Shields offers convenient access to advanced imaging, right nearby.

Modern beige concrete building with large windows against a bright blue sky.

A Patient’s Perspective

Discover the Shields Health difference—straight from our patients. Hear their stories and see how compassionate, expert care shapes every experience with us.